Are my wisdom teeth too difficult to remove?
Dr. Vishal Advani has been removing wisdom teeth at multiple offices in the Chicagoland area for 13 years. Dr. Advani was the sole doctor at multiple offices, where he only performed the removal of wisdom teeth. While no tooth is too difficult to remove, there are rare instances where Dr. Advani may recommend not removing your wisdom tooth, such as a tooth that may never drop into the mouth and may never cause you any problems in the future. There are also rare times when a tooth is too close to your nerve and a coronectomy would be a safer option for you, which is where the crown portion of the wisdom tooth is removed and the roots are intentionally kept to ensure the safety of your nerve. Outside of these rare situations, Dr. Advani will be able to help you to remove your wisdom teeth.
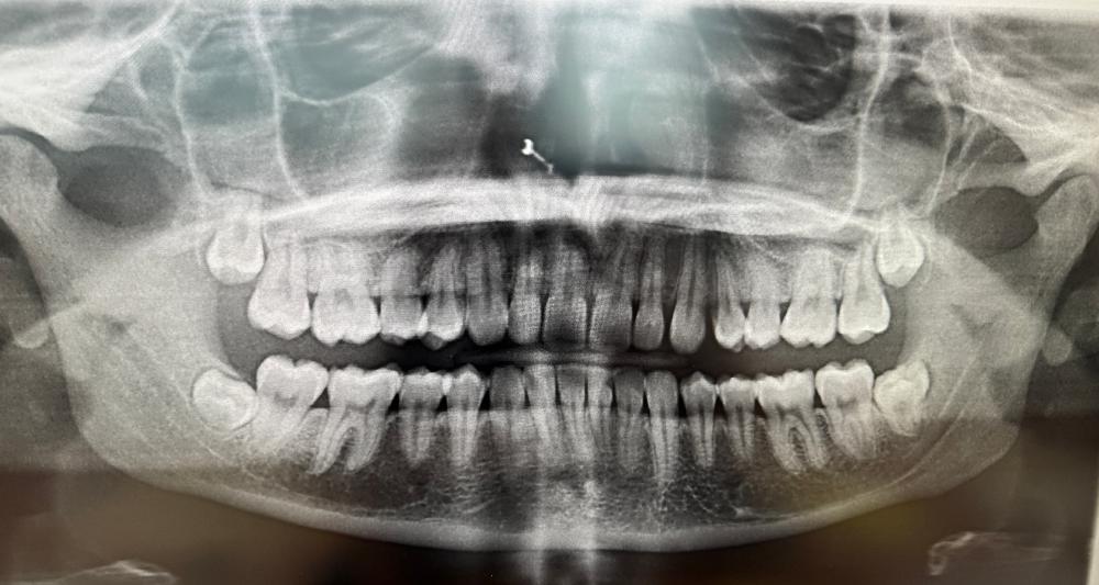
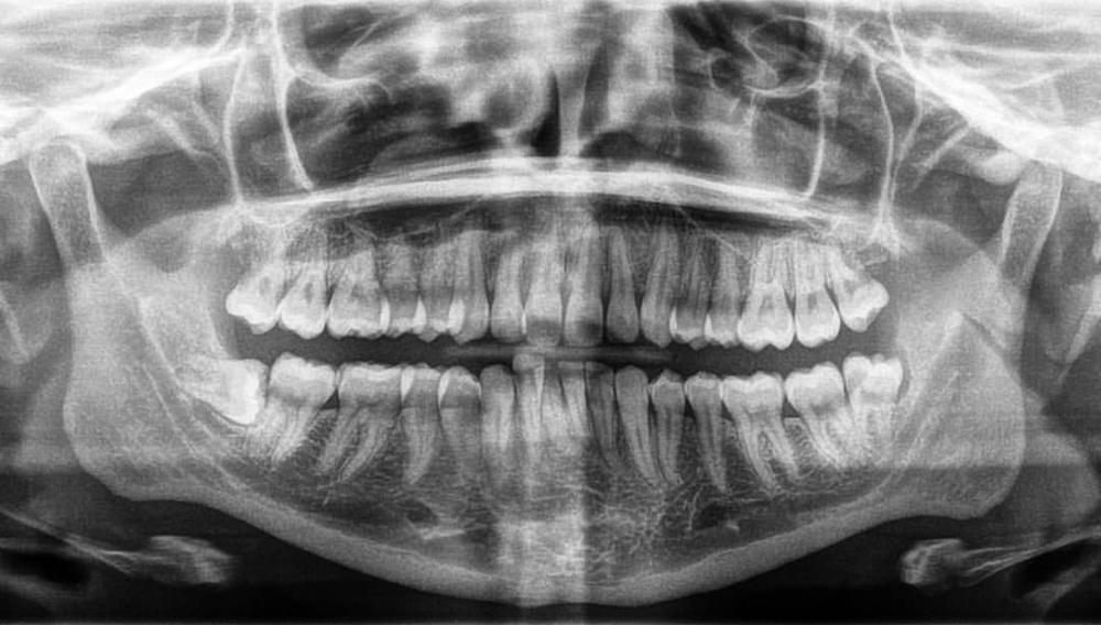
Below are examples of a few sets of surgeries that we routinely perform:





Contact our office to get a Free Consultation and estimate on your wisdom teeth. Located in Elk Grove Village, IL and serving Chicago and Chicagoland, including Schaumburg, Arlington Heights, Wood Dale, Mount Prospect, Roselle, Des Plaines, Addison, Naperville, Oak Brook, Elmhurst and the surrounding area.