Smile Gallery: Dental Implants
Click an image below or follow the link to see each Before & After case in greater detail.
This 84 year old patient broke her front tooth while eating, which could not be saved. Removal of the remaining piece of the tooth root and placement of a stronger dental implant was done on the same day by Dr. Advani. A temporary crown was placed the same day. After complete healing of the implant, the final permanent crown was placed by Dr. Advani. The patient couldn't believe how well the new crown felt and looked.
Our lovely patient had upper and lower teeth that were breaking and getting cavities over a number of years. The teeth could not be saved and our patient wanted a permanent solution to be able to eat comfortably and smile without any issues. The upper and lower teeth were removed and implants were placed at the same time on the top and bottom using IV sedation. The permanent all-zirconia bridges were placed by Dr. Vishal Advani and our patient could not have been happier.
Life changing procedure for our wonderful patient. His teeth were loose and infected and could not be saved. Dr. Vishal Advani placed upper and lower implants after removing the teeth. Temporary bridges were placed immediately, all in one day. After full healing, the permanent zirconia bridges were placed by Dr. Advani. The patient could not have been happier
This patient had an accident at work and fell broke his front 7 teeth. The teeth were badly broken and needed to be removed.
Dr. Vishal Advani removed the front broken teeth and placed 4 dental implants, as well as bone grafting. A permanent bridge was placed by Dr. Advani to give our patient an amazing smile.
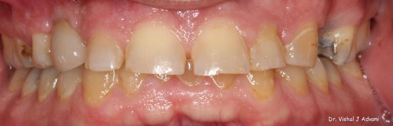
This patient had teeth in the front that broke and wanted a good way to replace the front teeth. Two implants were placed by Dr. Advani and a 4-unit cosmetic bridge was placed by Dr. Advani to give this patient a great, natural-looking smile. The patient was thrilled with the result!
Our patient had an old root canal with post and crown that fractured at the gum level. This is a very common issue for an old root canal and crown in the front. Dr. Vishal Advani removed the broken piece of the tooth, placed a dental implant the same day and a temporary crown was placed the same day. After 3 months of healing, the permanent crown was placed and our patient couldn't be happier.
This patient only had a few broken and infected remaining teeth on the top and had trouble eating and speaking. He didn't feel comfortable smiling due to the missing teeth. He wanted a permanent solution to replace the missing teeth.
The broken and infected front teeth were removed and 5 implants were placed by Dr. Vishal Advani. The patient left with a screwed-down, attached bridge. The entire procedure was completed in less than 3 years, which included removing the broken ...
This patient was born without 2 of her permanent adult front teeth. Congenitally missed teeth (missing adult teeth) is common for many people and most people are unhappy with the missing spaces, especially when they are in esthetic area. Two implants were surgically placed by Dr. Vishal Advani and two crowns were placed on the implants by Dr. Advani as well. The patient was excited to finally have the teeth replaced and just in time before her wedding.
This patient had a bad infection on his front tooth, which would move everytime the patient would eat. Multiple other teeth on his top jaw were loose and it was uncomfortable for the patient.
The loose teeth on the top were removed by Dr. Vishal Advani and 4 implants were placed with a temporary bridge that was placed the same day. After healing of the implants, a permanent bridge was placed. The patient wanted whiter teeth so the final bridge was lighter than his bottom teeth.
The best part about this procedure is that all the steps were completely in one location ...
This patient had been missing all of her upper teeth for a few months and wanted a way to replace her teeth without dentures. Implants were placed by Dr. Advani and a permanent cosmetic bridge was placed by Dr. Advani. The patient was ecstatic to have her teeth replaced and not have to deal with dentures. The new bridge feels and looks natural and is permanently attached to the implants
Our patient was born without her adult front tooth (congenitally missing tooth). This is a common occurrence in the front teeth. The adult tooth doesn't form and the baby tooth stays in place. Because the baby teeth are smaller, the baby teeth will eventually get loose and will need to be replaced with an implant.
Dr. Vishal Advani removed the loose baby tooth and placed a dental implant the same day. After healing of the implant, a crown was attached and looks very natural.
This patient had a large cavity on his front tooth and the tooth couldn't be saved due to the size of the cavity. The tooth was extracted by Dr. Advani and a bone graft was placed to preserve the site. After 2 months, a dental implant was placed by Dr. Advani and the final crown was placed after full healing was complete. The patient plans to replace his other missing teeth with implants in the future.
Great place! I was a new patient this visit and look forward to returning in the future. Would recommend to anyone seeking friendly, professional and informative service.
~DB