Smile Gallery
Click an image below or follow the link to see each Before & After case in greater detail.
This amazing patient had dental implants and all-zirconia bridges done to replace multiple loose teeth. The patient wasn't able to chew and it affected his quality of life.
All the upper and lower teeth were removed under IV sedation and 4 implants on the lower and 6 implants on the upper were surgically placed.
After 3 months of healing, Dr. Vishal Advani used Trios digital scanning and iCam4D photogrammetry and CAD/CAM technology ...
Our thoughtful and caring patient had gone through a difficult time with his teeth, which were deteriorating over the years. Dr. Vishal Adani completed Upper and Lower All-on-X Dental Implant treatment on this patient. All the broken and failing upper and lower teeth were removed and implants were placed on the top and bottom the same day.
After full healing was complete, the final zirconia bridges were 3D milled in our in-office lab and screwed into place by Dr. Advani
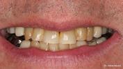
Years of smoking and avoiding the dentist took a toll on this patient's teeth. Multiple teeth were decaying and breaking. The patient had painful teeth removed and was looking for a solution to help with eating.
This 84 year old patient broke her front tooth while eating, which could not be saved. Removal of the remaining piece of the tooth root and placement of a stronger dental implant was done on the same day by Dr. Advani. A temporary crown was placed the same day. After complete healing of the implant, the final permanent crown was placed by Dr. Advani. The patient couldn't believe how well the new crown felt and looked.
Our lovely patient had upper and lower teeth that were breaking and getting cavities over a number of years. The teeth could not be saved and our patient wanted a permanent solution to be able to eat comfortably and smile without any issues. The upper and lower teeth were removed and implants were placed at the same time on the top and bottom using IV sedation. The permanent all-zirconia bridges were placed by Dr. Vishal Advani and our patient could not have been happier.
Life changing procedure for our wonderful patient. His teeth were loose and infected and could not be saved. Dr. Vishal Advani placed upper and lower implants after removing the teeth. Temporary bridges were placed immediately, all in one day. After full healing, the permanent zirconia bridges were placed by Dr. Advani. The patient could not have been happier
This patient had an accident at work and fell broke his front 7 teeth. The teeth were badly broken and needed to be removed.
Dr. Vishal Advani removed the front broken teeth and placed 4 dental implants, as well as bone grafting. A permanent bridge was placed by Dr. Advani to give our patient an amazing smile.
Are you missing some teeth or have broken teeth and are embarrassed to smile? This patient came to our office because he was unhappy with his smile and wanted his broken teeth fixed. Dr. Advani fixed his smile using an all-ceramic bridge (no metal). The bridge corrected the patient's misaligned bite, gave him straighter, whiter teeth and replaced his missing tooth. The patient was thrilled with the result!
This patient had teeth in the front that broke and wanted a good way to replace the front teeth. Two implants were placed by Dr. Advani and a 4-unit cosmetic bridge was placed by Dr. Advani to give this patient a great, natural-looking smile. The patient was thrilled with the result!
Our patient had an old crown he was unhappy with due to the dark metal under the crown. This is a common complaint from patients with older crowns. Even the smallest amount of gum recession will cause the metal of the crown to then show.
Dr. Advani removed the old crown and cleaned the tooth underneath and replaced the crown with a new one that doesn't have any metal underneath and was able to get a perfect match that the patient was thrilled with.
The patient had a front bridge done and was unhappy with the color of the bridge and how it matched with his other teeth. A new bridge was made using a stronger material that matched his teeth a lot better and looked more natural. Two veneers were also placed to create a better blend with the rest of his smile. The patient was thrilled with his new smile.
Our 75 year old patient had broke her front tooth, which couldn't be saved. Dr. Vishal Advani removed her broken tooth root and placed a bone graft and dental implant. After healing was complete, a crown was placed by Dr. Advani for a perfect match.
Our patient had an old, loose partial denture that he wasn't happy with. The remaining 3 upper teeth had bad cavities and needed to be removed.
Dr. Vishal Advani removed the remaining bad upper teeth and placed 5 dental implants the same day. A temporary bridge was attached the same day as well. After full healing of the implants, a permanent all-zirconia implant bridge was placed by Dr. Advani.
Our patient had an old root canal with post and crown that fractured at the gum level. This is a very common issue for an old root canal and crown in the front. Dr. Vishal Advani removed the broken piece of the tooth, placed a dental implant the same day and a temporary crown was placed the same day. After 3 months of healing, the permanent crown was placed and our patient couldn't be happier.
This patient only had a few broken and infected remaining teeth on the top and had trouble eating and speaking. He didn't feel comfortable smiling due to the missing teeth. He wanted a permanent solution to replace the missing teeth.
The broken and infected front teeth were removed and 5 implants were placed by Dr. Vishal Advani. The patient left with a screwed-down, attached bridge. The entire procedure was completed in less than 3 years, which included removing the broken ...
This patient was born without 2 of her permanent adult front teeth. Congenitally missed teeth (missing adult teeth) is common for many people and most people are unhappy with the missing spaces, especially when they are in esthetic area. Two implants were surgically placed by Dr. Vishal Advani and two crowns were placed on the implants by Dr. Advani as well. The patient was excited to finally have the teeth replaced and just in time before her wedding.
This lovely patient broke her front tooth from years of grinding and clenching, which weakened her tooth. Dr. Advani completed cosmetic bonding to fix her tooth the same day
This patient had 2 front teeth that he was really unhappy due to their dark color and being worn and chipped. He wanted whiter and longer teeth, so they would match his other upper teeth. 3D CAM/CAM technology was used by Dr. Advani to make 2 crowns the same day. The patient was thrilled to have his smile improved, all in one appointment
This patient had a bad infection on his front tooth, which would move everytime the patient would eat. Multiple other teeth on his top jaw were loose and it was uncomfortable for the patient.
The loose teeth on the top were removed by Dr. Vishal Advani and 4 implants were placed with a temporary bridge that was placed the same day. After healing of the implants, a permanent bridge was placed. The patient wanted whiter teeth so the final bridge was lighter than his bottom teeth.
The best part about this procedure is that all the steps were completely in one location ...
This patient had been missing all of her upper teeth for a few months and wanted a way to replace her teeth without dentures. Implants were placed by Dr. Advani and a permanent cosmetic bridge was placed by Dr. Advani. The patient was ecstatic to have her teeth replaced and not have to deal with dentures. The new bridge feels and looks natural and is permanently attached to the implants
This patient was unhappy with his smile due to the shape and color of his teeth. He wanted a more natural smile and to have whiter teeth. Dr. Advani placed 6 veneers to completely transform the patient's smile
Years of coffee, dark liquids, and food caused lots of staining and the patient was very unhappy with his smile. Different whitening options were discussed. Same-day In-Office Whitening was performed to get immediate results. The procedure lasted 1.5-2 hours to whiten all the teeth. The patient was thrilled with the improvement to his smile
Our patient was born without her adult front tooth (congenitally missing tooth). This is a common occurrence in the front teeth. The adult tooth doesn't form and the baby tooth stays in place. Because the baby teeth are smaller, the baby teeth will eventually get loose and will need to be replaced with an implant.
Dr. Vishal Advani removed the loose baby tooth and placed a dental implant the same day. After healing of the implant, a crown was attached and looks very natural.
This patient was unhappy with her old fillings on her front teeth that had staining and cavities starting. She also was unhappy with the color of her front teeth. New crowns were done on her front teeth to improve her overall smile. The patient was beyond happy with the change in her look! Her sensitivity in the front also disappeared after placement of the crowns
This patient had a large cavity on his front tooth and the tooth couldn't be saved due to the size of the cavity. The tooth was extracted by Dr. Advani and a bone graft was placed to preserve the site. After 2 months, a dental implant was placed by Dr. Advani and the final crown was placed after full healing was complete. The patient plans to replace his other missing teeth with implants in the future.
This patient was unhappy with her front teeth and the crowding she had. She wanted to fix her smile and have straighter teeth. She chose to have tooth-colored braces. She was thrilled with her smile after the completion of orthodontic treatment and said that no one really noticed that she even had braces.
This patient was unhappy with his front two crowns, that were done by another dentist over 10 years ago. He didn't like the color or size of his crowns. He also was unhappy with the metal showing underneath his crowns. The old crowns were replaced by Dr. Advani with natural looking, all-ceramic crowns, with no metal underneath. Veneers were placed on the other front teeth to give a natural blend to the teeth and to improve the smile. The patient was thrilled with the end result!
Great place! I was a new patient this visit and look forward to returning in the future. Would recommend to anyone seeking friendly, professional and informative service.
~DB