Elk Grove Smile Center

Extraction of Front Tooth and replacement with an Implant and Crown

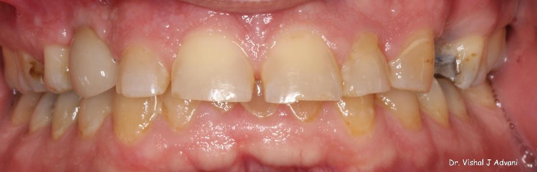
This patient had a large cavity on his front tooth and the tooth couldn't be saved due to the size of the cavity. The tooth was extracted by Dr. Advani and a bone graft was placed to preserve the site. After 2 months, a dental implant was placed by Dr. Advani and the final crown was placed after full healing was complete. The patient plans to replace his other missing teeth with implants in the future.

Friendly and Professional!

Great place! I was a new patient this visit and look forward to returning in the future. Would recommend to anyone seeking friendly, professional and informative service.

~DB

Ready to book an appointment?